One of the most common procedures in periodontics is gingivectomy or gum trimming . It is used in therapeutic procedures and in aesthetic procedures of gummy smile design.
When applied to aesthetic procedures it is known as Gingivoplasty.
At the Asiri Dental Center in Quito, Ecuador we can perform it, but first we want you to be very well informed about this treatment and hence the reason for this article that we have prepared for you.
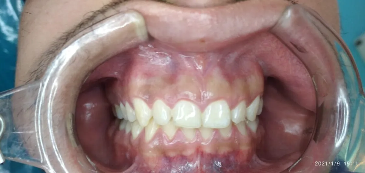
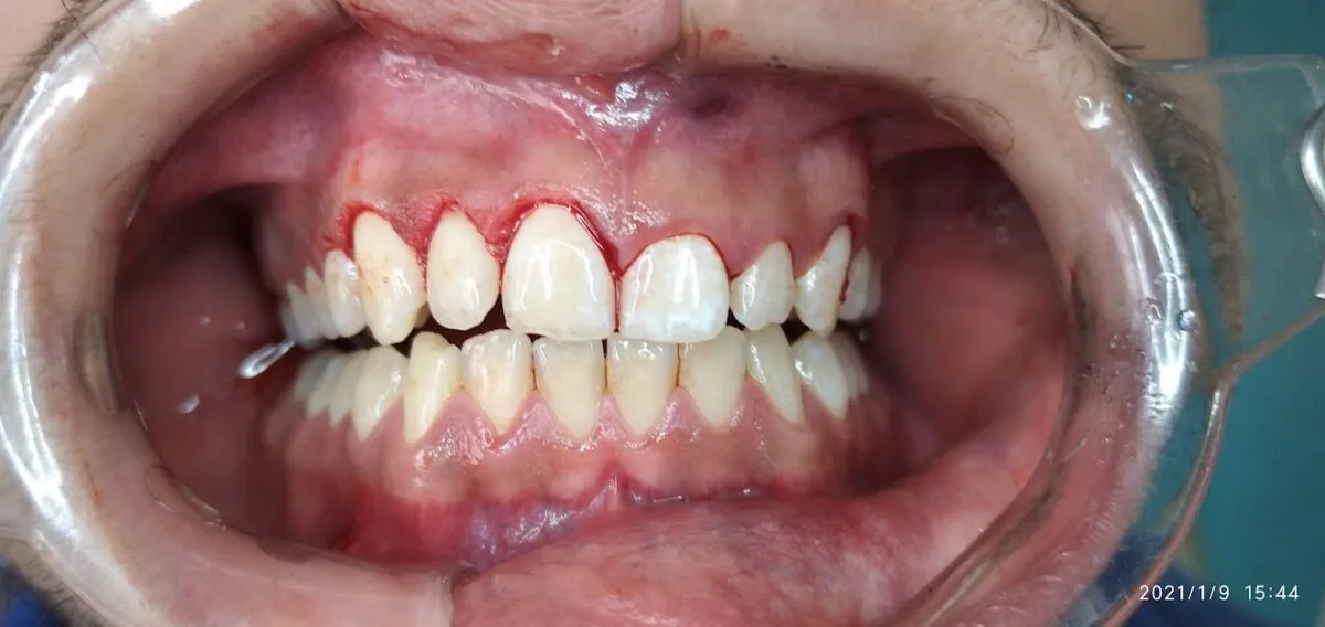
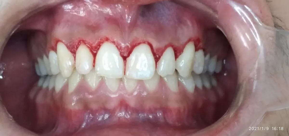
In this article we will show you a case of gingivectomy from before, during and after

Table of Content
What is Gingivectomy
It is a procedure that consists of the surgical removal of tissues belonging to the gum.
Gingivectomy is also known as gingival trimming and is used in treatments related to periodontal disease, rehabilitation as well as in aesthetic dental treatments such such as smile design and in oral rehabilitation when a clinical crown lengthening is needed.
It is an outpatient procedure that can be performed in the same dental office.


Gingivectomy Who Performs It
It is performed by both the general dentist and the Periodontist, however, the Periodontist is the ideal professional to perform it since he specializes in all the tissues around the teeth and this procedure is one that he has most likely performed countless times. .
Used Instruments
Depending on the case, the gums are trimmed with a conventional scalpel, with an electrocautery or with a laser.
After the evaluation of your case, the best technique for you will be determined.

How to know if I need Gingivectomy
Only your Periodontist will be able to determine whether or not you require the application of this treatment, there are different factors to evaluate that go far beyond the visual.
You can have more details in our related article Gummy Smile Causes and Treatments
Recovery After Gingivoplasty
After the gingivectomy, you have to wait a minimum recovery and healing time, which is usually two weeks.
Similarly, your Periodontist will give you indications after dental surgery that you must follow to avoid complications.

Gingivectomy and Osteotomy
Sometimes, in addition to having excess gum tissue, there is also excess bone where the tooth is located.
When it comes to correcting a gummy smile, it is very likely that this case will occur and the removal of a small portion of the excess bone will be required.
This procedure is additional, but it is performed in the same surgical act and the recovery is practically the same.
The price of the gingivectomy or gum trimming will depend on the need or not to perform an osteotomy
Conclusions
Aesthetic gingivectomy or gingivoplasty is today a widely used procedure but like any dental procedure, it should not be taken lightly.
It should be executed only in cases in which it is warranted, so you should seek advice from your trusted periodontist.
At the Asiri Dental Center we are totally at your service to help you have your gingivectomy in Quito, Ecuador



