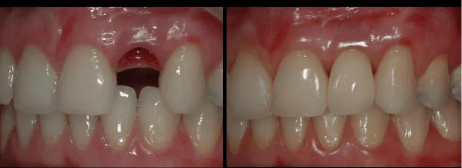
El Puente Adhesivo Maryland: La solución perfecta y alternativa a Implantes en caso de ausencias de un solo diente
Con su diseño innovador y natural, este puente dental ofrece una solución altamente estética para reemplazar uno o más dientes perdidos, bien sea de forma definitiva o temporal (mientras cicatriza un implante dental)
A diferencia de otros puentes dentales tradicionales, este puente no requiere desgastar los dientes adyacentes para su colocación. En su lugar, utiliza una estructura de metal o cerámica que se adhiere a la parte posterior de los dientes contiguos, lo que significa que no hay necesidad de tallar los dientes sanos.
Su belleza radica en su capacidad para brindar una apariencia natural y duradera. El material utilizado es resistente a las manchas y se adapta perfectamente a la forma y el color de tus dientes existentes. Esto garantiza que nadie notará la diferencia entre tus dientes naturales y el puente.
Recuerda, el puente de Maryland no solo mejora tu apariencia, sino que también restaura la funcionalidad completa de tu boca. Puedes hablar, comer y reír con confianza, sabiendo que tu sonrisa se mantendrá brillante y hermosa durante mucho tiempo.
No te conformes con una sonrisa incompleta. Descubre cómo el puente de Maryland puede transformar tu vida dental.

Tabla de Contenido
¿Qué es un Puente Dental Adhesivo?
Para entender lo que es un puente Maryland, primero hay que definir lo que es un puente adhesivo como técnica de prótesis dental.
Un puente adhesivo es un tipo de puente dental fijo de una o más piezas, que en lugar de estar soportado por una corona dental sobre diente natural vecino (tallado en forma de muñón o pilar), está soportado directamente sobre el diente natural vecino al cual se le ha preparado de forma mínimamente invasiva para alojar una «aleta» que va pegada con adhesivos especiales de última generación.
Esta adhesión puede llevarse a cabo en diferentes caras del diente:
- En la cara oclusal: esta es la cara que usan los dientes (premolares y molares) para masticar. Cuando la aleta incrustada en un escalón sobre a cara oclusal de los dientes vecinos hablamos de un puente adhesivo tradicional
- En la cara lingual: es la cara del diente que apunta hacia la lengua, es decir, es la cara más interna del diente. Cuando la aleta se encuentra adherida sobre esta cara, hablamos de un puente adhesivo tipo Maryland
Entonces, ¿Qué es un puente Maryland?
Es un tipo de puente adhesivo a que se sostiene de la cara lingual de los dientes vecinos pero usando solo unas estructuras aplanadas hechas a la medica y que se conocen como «aletas»
De esta forma no es necesario tallar o desgastar los dientes sanos vecinos al sitio donde se desea recupera el diente perdido. Solo en caso de que las aletas estén realizadas de cerámica o porcelana, es necesario un desgaste mínimo para aumentar la resistencia de la estructura.
Son una opción más económica que las coronas implanto-soportadas porque tiene la ventaja de ser un puente fijo y no es necesaria una cirugía de para colocar un implante dental. Como contrapartida, al no tener un implante que lo sostenga, su resistencia es menor, por lo que hay que tener mucho más cuidado.
¿Es el puente Maryland un puente adhesivo?
Si, el Maryland es un puente adhesivo, la diferenciación radica principalmente en:
- Forma de las aletas: Aplanada versus escalonada
- Ubicación de las aletas: cara lingual versus cara oclusal
- Cantidad de dientes: usualmente uno versus uno o más
- Ubicación de los dientes: sector anterior versus posterior
Ventajas del puente Maryland
- Apariencia natural: El material utilizado es resistente a las manchas y se adapta perfectamente a la forma y color de tus dientes existentes. Esto garantiza que nadie notará la diferencia entre tus dientes naturales y el puente
- Restaura la función masticatoria y fonación: Puedes hablar, comer y reír con confianza, sabiendo que tu sonrisa se mantendrá brillante y hermosa durante mucho tiempo
- Más barato que una corona sobre implante: el procedimiento de instalación es mucho más sencillo no requiere de cirugía lo que lo hace más económico y puede ser usado a modo temporal y ante urgencias estéticas.
- Mínimamente invasiva: así como todos los puentes adhesivos, desgaste sobre los dientes vecinos es nulo muy pequeño.
- No requiere elaboración de provisionales: al no tallar o tallar mínimamente los dientes vecinos no hace falta protegerlos con coronas provisionales durante el proceso.
- Puede ser definitiva o temporal : Se puede usar de forma definitiva o también a modo temporal en caso de emergencias estéticas o durante el proceso de colocación de implantes; por ejemplo pérdida de un diente anterior por causa de un golpe o accidente mientras se espera la recuperación y la cicatrización del implante dental.
Desventajas del Puente Maryland
- Soporta fuerzas moderadas: al estar adherido de la superficie de los dientes vecinos y carecer de un implante que sirva de «raiz», su resistencia se limita a fuerzas moderadas y no altas, por esta razón es muy usado en el sector anterior (dientes incisivos) que normalmente soportan fuerzas menores que los molares.
- Funciona mejor para sustituir un solo diente: como consecuencia del punto anterior, la recomendación es sustituir solo un diente para que las aletas no tengan que soportar fuerzas altas.
- Exige mayor higiene dental: al tener las aletas en la parte posterior de los dientes, se requiere una higiene muy efectiva en esa área.
¿Cómo funciona?
El puente Maryland se coloca utilizando un adhesivo dental especial que garantiza una sujeción segura y duradera.
El armazón de metal o cerámica se adhiere a la parte posterior de los dientes adyacentes, creando una fuerte unión que sostiene el puente en su lugar. Esta técnica minimiza la necesidad de preparación dental invasiva y ofrece una solución más conservadora y menos traumática.
¿Quién es candidato para un puente Maryland?
El puente Maryland es una excelente opción para aquellos que han perdido un diente (preferiblemente anterior, máximo hasta un premolar, según el caso) y desean restaurar su sonrisa de manera estética y funcional y a un costo menor al de un implante dental unitario.
Sin embargo, no todos los pacientes son candidatos ideales para este tipo de puente. Es importante consultar a un dentista calificado para evaluar tu caso individual y determinar si el puente Maryland es adecuado para ti.
Hay factores como el sexo, la edad, la calidad del esmalte y estado periodontal de los dientes vecinos, así como los hábitos de higiene del paciente
Proceso para obtener un puente Maryland
El proceso generalmente involucra varias etapas, que incluyen:
- Consulta inicial: En esta etapa, tu dentista evaluará tu situación dental actual, discutirá tus objetivos y responderá todas tus preguntas sobre el puente Maryland.
- Preparación dental: Si eres un buen candidato para el puente Maryland, tu dentista realizará la preparación dental necesaria, que generalmente implica tomar impresiones de tus dientes y preparar los dientes adyacentes para la colocación del puente.
- Fabricación del puente: Una vez que se toman las impresiones, se enviarán al laboratorio dental para la fabricación del puente Maryland personalizado según tus necesidades y características dentales únicas.
- Colocación del puente: Una vez que el puente Maryland esté listo, se programará una cita para su colocación. Tu dentista se asegurará de que el puente se ajuste correctamente y lo adherirá a tus dientes adyacentes utilizando un adhesivo dental de alta calidad.
- Seguimiento y cuidado: Después de la colocación del puente, es importante seguir las instrucciones de cuidado y mantener una buena higiene oral para garantizar la durabilidad y el éxito a largo plazo del puente Maryland.
Cuidado y mantenimiento de un puente Maryland
El cuidado adecuado y el mantenimiento regular son esenciales para garantizar que tu puente se mantenga en buenas condiciones durante muchos años. Aquí hay algunos consejos para el cuidado y mantenimiento de tu puente:
- Higiene dental estricta: Cepíllate los dientes dos veces al día con un cepillo de cerdas suaves y usa hilo dental a diario para eliminar la placa y los restos de alimentos alrededor del puente. Acá te dejamos un artículo con mayor detalle acerca de las mejores prácticas en higiene dental
- Cuidado: Evita morder objetos duros o pegajosos que puedan dañar el puente.
- Control y seguimiento: Programa visitas regulares al dentista para exámenes y limpiezas profesionales.
- Incidencias: Si experimentas algún problema con tu puente Maryland, como una sensación incómoda o suelta, ponte en contacto con tu dentista de inmediato para obtener asistencia.
¿Cuánto dura un puente Maryland?
La duración puede variar según varios factores, como el cuidado oral, la salud bucal general y la calidad del puente. Sin embargo, con el cuidado adecuado y el mantenimiento regular, un puente Maryland bien mantenido puede durar de diez a quince años o incluso más.
Costo de un puente Maryland
El costo puede variar según diversos factores, como la complejidad del caso, la ubicación geográfica, la experiencia del dentista y el material de elaboración. Es importante consultar con tu dentista para obtener un presupuesto preciso y comprender los detalles financieros antes de proceder con el tratamiento.
En Quito, Ecuador es uno de los sitios donde puedes optar por tratamientos odontológicos a precios accesibles.
Otras opciones además del Puente Maryland
Si bien el puente Maryland puede ser una excelente opción para muchos pacientes, existen alternativas que pueden ser más adecuadas en ciertos casos. Algunas de las alternativas comunes que incluyen
- Corona sobre implante dentales: es la opción más eficaz, duradera1 y resistente
- Puente dental adhesivo : pueden usarse en caso de dientes posteriores (molares) que requieren un soporte más resistente
- Prótesis parcial removible: usualmente aplican si tienes varias ausencias dentales
Es esencial discutir todas las opciones con tu dentista para encontrar la mejor solución para tu situación dental específica.
Conclusión
El puente Maryland ofrece una solución estética y funcional para aquellos que desean restaurar su sonrisa y reemplazar dientes perdidos. Con su diseño innovador, materiales de alta calidad y capacidad para preservar los dientes adyacentes, el puente Maryland brinda resultados duraderos y naturales.
Si estás buscando una solución confiable y estética para tu sonrisa y no puedes costear un implante dental, considera el puente Maryland como una excelente opción, bien sea temporal como definitiva
Consulta a tu dentista para obtener más información y dar el primer paso hacia una sonrisa brillante y duradera. ¡No te conformes con una sonrisa incompleta!
Referencias
- Balevi, B. Root canal therapy, fixed partial dentures and implant-supported crowns, have similar short term survival rates.Evid Based Dent9, 15–17 (2008). https://doi.org/10.1038/sj.ebd.6400565 ↩︎





