Con el ajetreo diario es posible que pasemos por alto signos o síntomas que parecen ser normales pero que pueden ser de alerta del inicio de una inflamación en nuestras encías o Gingivitis.
¿Sangras cuando te cepillas los dientes? ¿Tienes las encías enrojecidas?
Prevenir enfermedades dentales como ésta es de suma importancia para prevenir el avance a fases que puedan ser irreversibles. En este artículo te daremos detalles prácticos que ayudarán a que esta enfermedad dental no sea un problema para ti.

Tabla de Contenido
¿Qué es la Gingivitis?
La gingivitis es una enfermedad odontológica de origen bacteriano que consiste en la inflamación de las encía. Su nombre proviene tanto del término latín Gingiva que significa encía como de el griego Itis que significa Inflamación. 1
En la gingivitis inducida por placa bacteriana si bien es cierto hay inflamación, no se presenta pérdida ósea ni tampoco pérdida de la inserción periodontal, por lo que es considerada la etapa leve de la enfermedad periodontal. Se puede presentar halitosis.
Causas que Provocan la Gingivitis
La principal causa de la gingivitis al igual que la caries dental en adultos o caries temprana en niños es la placa bacteriana. Esta placa se acumula debajo de las encías llegando a infectar y por tanto afectar los tejidos de soporte de los dientes (encías, ligamentos y hueso)
La placa dental es una acumulación de bacterias adherentes que se forma continuamente alrededor de los dientes y por debajo de las encías.
Estas bacterias liberan continuamente toxinas dañinas que causan la inflamación de la encía (sangrado), halitosis (mal aliento), y también pueden llevar a producir caries. Cuando la placa dental no se elimina eficazmente con cepillado y uso de hilo dental a diario, se convierte en sarro duro que solo puede eliminar un profesional
Factores de Riesgo
Hay gran cantidad de estudios científicos que han coincidido en los siguientes factores como los principales para aumentar la prevalencia de la inflamación de las encías:
- Fumar
- Diabetes
- Consumo excesivo de alcohol y de azúcar.
A quién le puede dar Gingivitis
Todas las personas pueden sufrir de gingivitis y la prevalencia en la humanidad es muy alta, por eso desde el Centro Odontológico Asiri en Quito, nos avocamos como premisa fundamental a difundir información de prevención dental.
Por esta razón estamos abiertos a responder cualquier duda que tengas y si gustas, puedes compartir este artículo con las personas que consideres que esta información le sea útil.
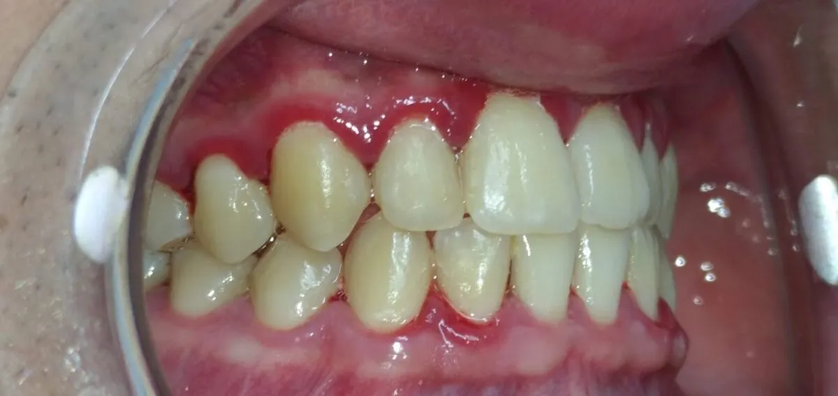
Ejemplos de Casos de Gingivitis
A continuación una fotografía de un paciente, donde puedes ver el borde de sus encías enrojecidos a causa de la inflamación que sufre.

Tratamiento de la Gingivitis
El tratamiento de la gingivitis tiene como objetivo mejorar el control de la placa para lograr una buena higiene bucodental, y la eliminación de los signos de inflamación para así evitar la progresión hacia periodontitis y mantener salud periodontal a largo plazo… Evitando así la necesidad de visitar al periodoncista.
Hay dos acciones principales que se pueden realizar:
- Profilaxis dental mecánica y periódica con pulido y que sea realizada por un profesional, acá podemos encontrarnos en la necesidad de realizar algún raspado y alisado radicular por encima o por debajo de la encía.
- Proporcionar instrucciones de higiene dental encaminadas a lograr el control definitivo de la placa bacteriana
Importancia de tratar la Gingivitis
La gingivitis es una etapa inicial de la enfermedad periodontal, es sumamente importante que sea tratada para evitar el avance a fases más avanzadas y hasta irreversibles de esta silenciosa enfermedad.

Consejos para prevenir la Gingivitis
Tenemos un artículo específico para este punto, puedes visitarlo acá: Instrucciones de Higiene Oral
TIP: visita a tu dentista de confianza para tu chequeo al menos una vez al año, preferiblemente dos.
Conclusiones
Nunca debes pasar por alto signos o síntomas de la gingivitis, por sencillos e inofensivos que parezcan.
Al contrario, debes tomar acción de inmediato para detener el avance de la piorrea o enfermedad periodontal.
Y así no presentes síntomas, es vital tu chequeo rutinario con tu dentista de confianza, solo él podrá chequear íntegramente el estado de salud bucal que tienes y podrá darte las mejores recomendaciones.





